Si estás pensando en alinear tu sonrisa de forma discreta, es muy probable que hayas escuchado hablar de ellos. Pero, ¿qué son los ataches en invisalign o en cualquier otra marca de alineadores transparentes? Aunque los alineadores son los protagonistas, estos pequeños relieves son el secreto detrás del éxito de muchos tratamientos.
En Odontofamily sabemos que dar el paso hacia una nueva sonrisa genera dudas. Por eso, hemos preparado esta guía completa para explicarte todo lo que necesitas saber.
¿Buscas un dentista de confianza en Bizkaia? En Odontofamily contamos con clínicas ubicadas en Bilbao y Las Arenas (Getxo). Somos especialistas en odontología integral, ortodoncia, estética dental e implantología. Nuestro equipo te ofrece tratamientos personalizados con la tecnología más avanzada. Si vives cerca y necesitas una revisión, ¡pide tu primera cita de valoración con nosotros!
Reserva tu visita en Odontofamily
Qué son los ataches dentales
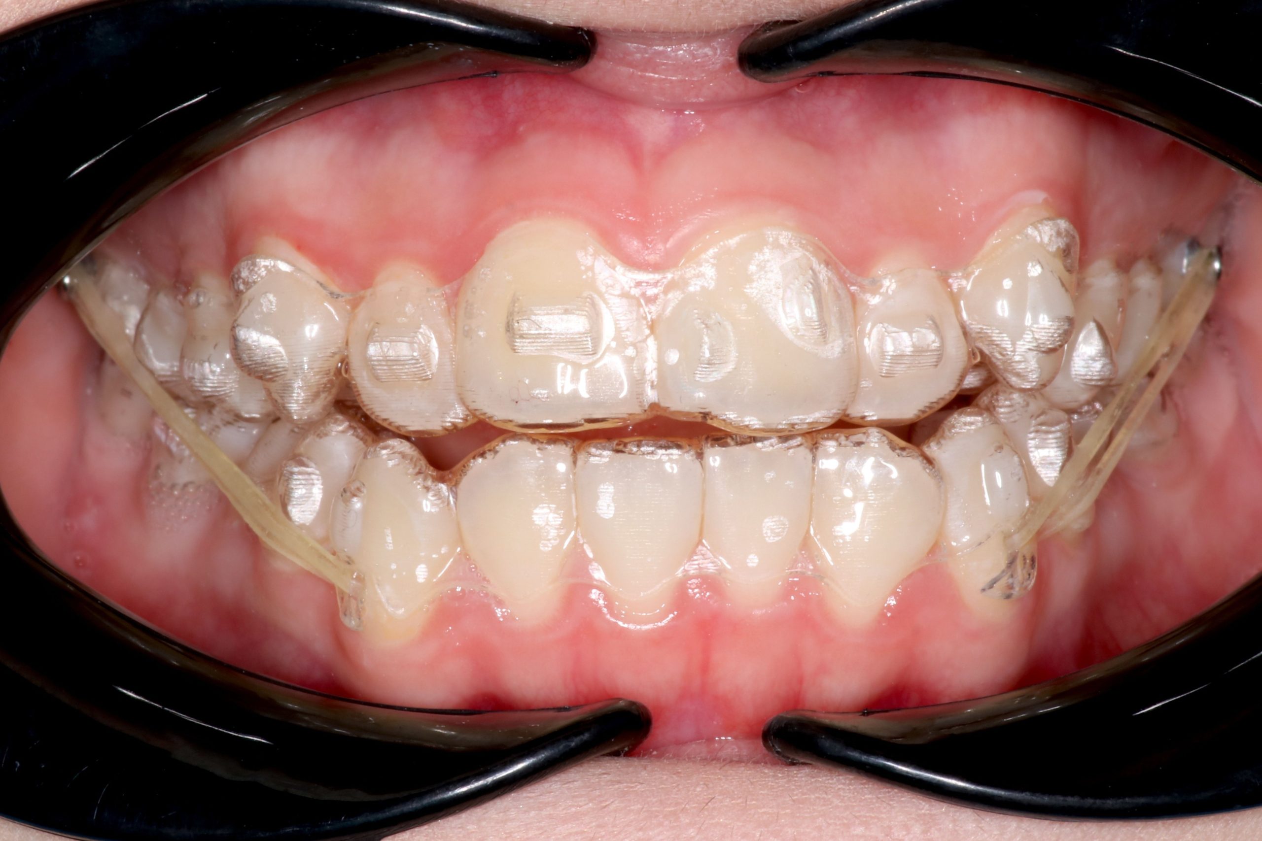
Un atache dental es un pequeño relieve, diminuto y del color del diente, que el ortodoncista adhiere temporalmente a la superficie de tus piezas dentales. Básicamente, cada atache del diente funciona como un punto de anclaje adicional. Al colocar el alineador sobre los dientes, este encaja perfectamente sobre el atache, permitiendo que la férula se agarre mejor y ejerza la presión exacta necesaria para realizar movimientos complejos.
¿Para qué sirven los ataches?
Los ataches ortodoncia invisible son fundamentales para el éxito del tratamiento. Sin ellos, los alineadores de plástico liso resbalarían sobre la superficie del diente al intentar hacer ciertos movimientos (como rotar un colmillo o “bajar” un diente). Sirven como un punto de apoyo geométrico que transfiere la fuerza del alineador directamente a la raíz del diente, logrando resultados precisos y predecibles en menos tiempo.
¿De qué material están hechos los ataches?
Están fabricados de composite o resina compuesta, el mismo material estético y seguro que utilizamos los dentistas para hacer los empastes blancos. Gracias a esto, el atache de ortodoncia invisible se mimetiza a la perfección con el esmalte, manteniendo la máxima discreción que caracteriza a este tratamiento.
Tipos de ataches dentales
No todos los ataches dentales son iguales; su forma (rectangular, biselada, cuadrada) y tamaño dependen del movimiento exacto que el diente necesita realizar.
Tipos de ataches invisalign
Cuando hablamos de la marca líder, existen distintos tipos de ataches invisalign diseñados mediante un software 3D para encajar milimétricamente. Además de los ataches, a veces el tratamiento requiere de un botón de anclaje y gomas (pequeños botones metálicos o estéticos donde se enganchan gomas elásticas para corregir la mordida), que trabajan en conjunto para perfeccionar tu sonrisa.
Ataches convencionales vs. Ataches optimizados
- Convencionales: Tienen formas geométricas básicas y el ortodoncista los elige manualmente según el movimiento deseado.
- Optimizados: Son exclusivos de los ataches invisalign. El algoritmo del software calcula de forma inteligente qué forma exacta y en qué posición milimétrica debe ir el atache para lograr un movimiento muy específico.
¿Tienes dudas sobre si tu caso necesitará ataches o gomas? Si estás en Vizcaya, te invitamos a visitar nuestras clínicas Odontofamily en Bilbao o en Las Arenas (Getxo). Pide una cita para una valoración de ortodoncia invisible gratuita y estudiaremos tu sonrisa sin compromiso.

Qué pasa si se cae un atache
¡No entres en pánico! Si notas que se te ha caído un atache, el tratamiento no se arruinará de un día para otro. Lo más importante es que sigas usando tus alineadores con normalidad para que los dientes no retrocedan. Simplemente, ponte en contacto con nuestra clínica para agendar una visita rápida y volver a colocártelo.
¿Duelen los ataches?
El proceso de colocar un atache es totalmente indoloro: no usamos agujas, ni se taladra el diente. Simplemente se pega con un adhesivo especial. Es normal que durante los primeros días con alineadores nuevos sientas presión, pero los ataches en sí no duelen.
Cómo evitar llagas y roces con los ataches
Cuando te quitas los alineadores para comer, los ataches quedan expuestos y pueden sentirse un poco rugosos contra la parte interna del labio o las mejillas. Si tienes sensibilidad los primeros días, puedes aplicar un poco de cera de ortodoncia sobre el atache para suavizar el roce hasta que tu boca se acostumbre.
Preguntas frecuentes
¿Los ataches me hacen heridas?
No es lo habitual. Su superficie es redondeada, pero durante los primeros días de adaptación, la mucosa de tu boca puede estar más sensible. Si ocurre, la cera de ortodoncia será tu mejor aliada y, en pocos días, ni notarás que los llevas.
¿Cómo quitar invisalign con ataches?
La clave es la paciencia. Usa la yema de los dedos y desengancha el alineador primero desde la parte interior (por el lado del paladar o la lengua) en la zona de las muelas traseras. Luego, ve tirando suavemente hacia delante.
Al finalizar tu tratamiento en Odontofamily, retiramos los ataches puliendo suavemente la resina con un instrumental especial. Es un proceso rápido, indoloro y que deja el esmalte de tu diente intacto y brillante.
¿Los ataches invisalign se caen?
Están adheridos firmemente, pero no dejan de ser temporales. Si muerdes alimentos extremadamente duros (como turrón duro o kikos) o utilizas una técnica muy brusca para quitarte las férulas, podrían desprenderse..
¿Los ataches se notan, se ponen amarillos o se tiñen?
Como son del color del diente, apenas se perciben. Sin embargo, el composite puede teñirse ligeramente si consumes en exceso café, té, vino tinto o si fumas, y no mantienes una buena higiene. Cepillarte después de cada comida mantendrá tus ataches invisibles.
¿Cómo quitar los alineadores con ataches sin dolor?
Si tienes muchos ataches y te cuesta sacar el alineador, un truco fantástico es usar una pequeña herramienta llamada “hook” o gancho extractor (puedes preguntarnos por ella en la clínica). Te ayudará a hacer palanca desde atrás sin forzar el alineador ni lastimarte los dedos.


